
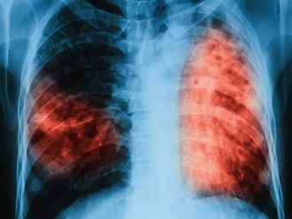
Безплатен скрининг за риска от туберкулоза ще се проведе от 10 до 14 септември в Отделението по фтизиатрия на УМБАЛ „Свети Георги“, съобщиха от лечебното заведение. Мотото на инициативата, която се провежда четири пъти в годината, е „Седмица на отворените врати“ и в нейните рамки безплатно ще се извършват медицински консултации. На пациентите със съмнение за наличие на заболяването ще бъдат направени допълнителни изследвания, разказа завеждащият отделението д-р Веселин Давчев.
Желаещите да се включат в безплатния скрининг трябва да го направят във времето от 08:00 до 13:00 часа, от 10 до 14 септември включително, на адреса на Отделението по фтизиатрия – бул. „Пещерско шосе“ №66А, в съседство с Хирургичния блок на УМБАЛ „Свети Георги“. Допълнителна информация за „Седмицата на отворените врати“ може да се получи на телефон: 032 602 770.
В предишния скрининг тази година – от 11 до 15 юни, се включиха 319 души от Пловдив и региона. От тях 119 са насочени за контролни прегледи, ренгтенови снимки и микробиологични изследвания на храчка. На по-голямата част – 113 човека, е направен туберкулинов кожен тест – познат като „Пробата на Манту“. С него се открива инфекция с туберкулозната бактерия. данните съобщи завеждащият отделението д-р Веселин Давчев.
След изброените изследвания е установено, че има 15 болни със съмнение за заболяването. От тях трима са диагностицирани с активна туберкулоза и са хоспитализирани, за да им се проведе активно лечение. Останалите 12 са с латентна форма на болестта и при тях вече се провежда химиопрофилактика.
Характерно за латентната туберкулоза е, че тя преминава безсимптомно и при инфектираните лица не се наблюдават клинични, микробиологични или рентгенологични данни за наличие на активно туберкулозно заболяване. Макар че хората с латентна форма на заболяването не проявяват явни симптоми на активна туберкулоза и не са носители на заразата, те могат да бъдат окачествени като постоянни резервоари на инфекцията. При някои от тях има повишен риск от развитие на активно заболяване и те могат да станат източник на инфекция, обясни д-р Давчев.
Бързото диагностициране и адекватното лечение на болните с активна туберкулоза са от първостепенно значение за осъществяване на контрол над коварното заболяване. Също така трябва да се проследи и състоянието на лицата, които са били в контакт с болния от активна туберкулоза. Ранното откриване гарантира не само излекуване на вече заразените, но и прекъсване на веригата на предаване на болестта, подчерта д-р Веселин Давчев.
Скринингът в УМБАЛ „Свети Георги“ се провежда на всеки три месеца в годината като част от Националната кампания за превенция и контрол на туберкулозата в България и от Програмата, финансирана от Глобалния фонд за борба със СПИН, туберкулоза и малария. Кампанията цели повишаване на информираността на обществото за риска от туберкулоза и същевременно с това всеки пациент получава достъп до здравни услуги. Най-често във фокуса на скрининга са случаите на латентна туберкулоза.
Коментари по темата