
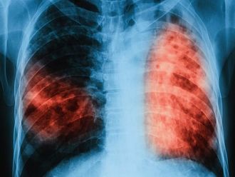
От утре, 11-ти декември, започва седмица на отворените врати, посветена на туберкулозата. В периода 11-15 декември ще се проведат безплатни прегледи за туберкулоза в лечебни заведения за диагностика и лечение на туберкулоза във всички областни градове на страната, съобщават от МЗ.
Това е четвъртата кампанията „Седмица на отворените врати" за 2017 г. Инициативата се осъществява по Програма „Подобряване на устойчивостта на Националната програма по туберкулоза" (2015-2018) към Министерството на здравеопазването и е финансирана от Глобалния фонд за борба срещу СПИН, туберкулоза и малария.
По време на „Седмицата на отворените врати” на всеки желаещ се предлага скрининг за риска от туберкулоза чрез анкета и консултации. При откриването на случаи на туберкулоза своевременно се предприемат мерки за хоспитализация и лечение, в резултат на което се прекъсва веригата за предаване на инфекцията.
По време на третата кампания за 2017 г., която се проведе през месец септември, анкетирани за туберкулоза са 3079 лица, от тях в риск от туберкулоза - 1738, на които са извършени медицински прегледи и допълнителни изследвания. Открити са 34 лица с туберкулоза и 72 лица с латентна туберкулозна инфекция. На всички се прилага безплатно лечение и химиопрофилактика. Най-много лица са преминали в МБАЛ „Св. Георги" - Пловдив, СБАЛПФЗ - Бургас, СБАЛПФЗ - Пазарджик, МБАЛ „Д-р Иван Селимински" - Сливен, МБАЛ - Силистра и СБАЛПФЗ - Враца.
От началото на 2017 г. общо анкетирани за туберкулоза са 9574 лица, на 5873 лица в риск за туберкулоза са извършени медицински прегледи и допълнителни изследвания. Открити са 97 лица с туберкулоза, които са започнали лечение, и 445 лица с латентна туберкулозна инфекция, които провеждат химиопрофилактика.
По време на проведените за периода 2009 г. – септември 2017 г. „Седмици на отворени врати” анкетираните за туберкулоза 99 691 лица. Броят на лицата, диагностицирани с туберкулоза и насочени за лечени, е 1099. Други 3906 души са открити с латентна туберкулозна инфекция и са обхванати с химиопрофилактика.
Коментари по темата