
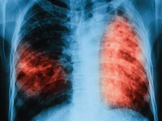
РЗИ в Бургас официално съобщи за един починал от туберкулоза през първата седмица на тази година.
Пред Zdrave.net специалистът по връзки с обществеността на инспекцията Елица Карагьозова потвърди информацията и уточни, че става въпрос за мъж от възрастовата група 45 – 49 години, жител на община Руен.
Пациентът е бил лекуван в Специализираната болница за активно лечение на пневмофтизиатрични заболявания, но за съжаление, въпреки усилията на лекарите, заболяването му е завършило с фатален край.
Коментари по темата