
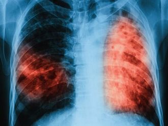
От 10 до 14 декември 2018 г. в МБАЛ „Д-р Братан Шукеров“ ще се извършват прегледи за туберкулоза. Инициативата е част от кампанията „Седмица на отворените врати“, информират от учебното заведение.
Медицинските консултации и изследванията са напълно безплатни, включително и за неосигурените лица. На всеки, който реши да провери своето състояние, ще бъде извършен преглед и ще се назначи проба манту, а при необходимост и допълнителни изследвания – рентгенова снимка и изследване на материал за туберкулозни бактерии.
Безплатните прегледи за туберкулоза ще се извършват в часовете между 8,00 и 15,30 часа от д-р Юлияна Лазарова – завеждащ пневмофтизиатричния кабинет, който се намира на шестия етаж, над Инфекциозно отделение.
Инициативата се осъществява по Програма „Подобряване на устойчивостта на Националната програма по туберкулоза” към Министерство на здравеопазването, финансирана от Глобалния фонд за борба срещу СПИН, туберкулоза и малария.
По време на кампанията, организирана през месец септември т.г. в МБАЛ – Смолян, са преминали 128 човека. От тях с риск от заболяване са 118. На 103 човека са направени проби манту, на 41 рентгенография на бял дроб, на 12 микробиологично изследване на храчка. При 18 пациенти е открита латентна туберкулозна инфекция, 18 души са обхванати с химиопрофилактика. Няма открити болни от туберкулоза.
Коментари по темата