
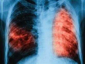
Превенцията, лечението и грижите за болните от туберкулоза не трябва да отслабват по време на епидемията от COVID-19, защото всяко пренебрегване може да има лоши поледици както за пациентите, така и за общественото здраве. Това е основната препоръка, която експертите на Световната здравна организация (СЗО) отправят към политиците и медицинската общност в обширен информационен материал, третиращ отделните аспекти на работата с пациенти, засегнати или застрашени от туберкулоза в условията на широко разпространение на SARS-CoV-2 в цял свят и нарастващ брой болни от COVID-19.
СЗО предупреждава на първо място за опасните последици от стигмата и дискриминационното отношение към хората, страдащи от заразни заболявания, към които се числи както туберкулозата, така и коронавирусната инфекция.
Социалната изолация е много опасна, и по тази причина при епидемиологичното проучване и при снемането на анамнеза на пациент с вирусоносител или болен с доказана коронавирусна инфекция задължително трябва да се обръща внимание и на факторите, които са предпоставка за туберкулозна инфекция – прекарано туберкулозно заболяване в миналото, контакт с преболедували или боледуващи от туберкулоза, дълъг престой в големи колективи, в затворени помещения и т.н.
Здравните системи трябва да поддържат винаги в наличност необходимите количества от противотуберкулозни медикаменти, както и да осигуряват във всеки случай консултация с квалифициран полмулог, който е наясно с протичането на туберкулозата и разликите в симптоматиката при нея и COVID-19, подчертават още експертите.
Коментари по темата