
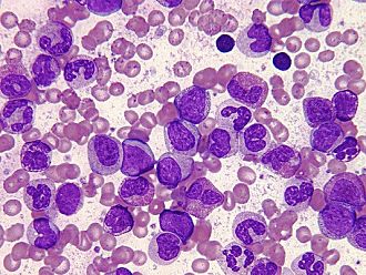
На днешния 22 септември се отбелязва Световният ден в подкрепа на пациентите с хронична миелоидна левкемия (ХМЛ). От Националното сдружение на българите с хронична миелоидна левкемия уточняват и защо това се случва на датата 9/22 - 9-та и 22-ра са хромозомите, които определят генетичния дефект, довел до възникването на това злокачествено заболяване.
Този ден е символ на стремежа на пациентите с ХМЛ по цял свят за достъп до лечение и грижи, за нормален живот с това заболяване, а защо не и излекуване, отбелязват от там. Световният ден на ХМЛ 9/22 съвпада с Деня на независимостта на България, а пациентите с хронична миелоидна левкемия продължават своята борба за независимост от това заболяване.
„Един ден, една общност, една житейска реалност. Днес ние сме заедно, за да покажем, че съществуваме, да споделим нашите нужди и да говорим за нашето заболяване!“, е призивът на пациентите.
"През последните 17 години лечението на този вид левкемия претърпя революция. Това важи в пълна степен както по отношение на начина на лечение, така и по отношение на продължителността и качеството на живот на самите пациенти. Специалистите говорят за преход от злокачествено към хронично контролируемо заболяване, с което пациентите живеят както всички останали хора. Тук умишлено няма да се спирам на перипетиите, през които преминахме докато стигнем до тук. Надявам се никога да не се връщаме отново към онези тежки дни преди години", заяви Христофор Христов, председател на Националното сдружение на българите с хронична миелоидна левкемия.
В момента в България се лекуват 520 пациенти с диагноза ХМЛ, разпределени в девет хематологични центъра. Държавата покрива терапията им с най-съвременната група лекарствени средства – тирозин-киназни инхибитори, които са стандарт в лечението на това заболяване. На практика приемът им контролира болестта и осигурява поддържането на постоянна ремисия.
През 2017 г. един от тези медикаменти получи разрешение от Европейската лекарствена агенция (ЕМА), с което се разрешава на лекуващия лекар при постигане на определени генетични показатели да спре терапията. Това позволява на пациента да бъде напълно „независим от терапията“. Не е без значение и очакваното положителното финансовото въздействие върху разходите на НЗОК за тази терапия при евентуалното й спиране по съответни медицински критерии и показатели. Проследяването на показателите е от изключително важно значение и се извършва в специализирани лаборатории, които за България са две - една в Националния хематологичен център в София, под ръководството на проф. Георги Балаценко и една в Университетската болница „Св. Марина“ във Варна, под ръководството на доц. Трифон Червенков.
Коментари по темата